歯医者さん
デビュー
歯並び無料
カウンセリング
WEB予約
初診/再診
Instagram

インプラント治療症例CASE1

インプラント治療症例

インプラント埋入と
骨造成を同時に行った症例

  • Beforeインプラント治療前の状態
  • Afterインプラント治療後の状態
患者様 70代・女性
主訴・治療内容 5本の歯を連結したブリッジが入っていましたが、
虫歯になって噛めなくなり、インプラントを希望された患者様です。
治療期間 7ヶ月半
費用 1,480,000円 
(税込 1,628,000円)

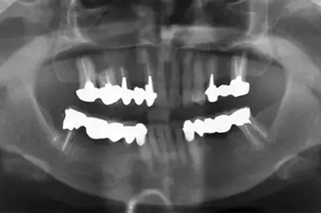
治療経過

精密検査

治療前に行ったレントゲンです。ブリッジを支える歯が虫歯になってしまい、しっかり噛めなくなってしまいました。

治療経過

治療前の状態

抜歯後1ヵ月半程度が経過し、歯肉が治癒した状態です。大型のブリッジを削除したため、右下の奥歯が4本ない状態です。

治療経過

骨造成・
インプラント埋入

骨が痩せてしまっていたため、インプラントの埋入と併せて、骨の高さ・厚みを補うGBR(骨誘導再生法)を行いました。

治療経過

安静期間

増やした骨がしっかりと安定するアで6ヶ月ほど期間を置きます。レントゲン画像を見ると、減っていた骨が増えていることが分かります。

治療経過

上部構造の装着

安静期間が終わったら、仮歯を外して最終的な上部構造を装着します。周囲の天然歯に合わせた形・色味に調整しているので、見た目にも違和感が少ないです。