歯医者さん
デビュー
歯並び無料
カウンセリング
WEB予約
初診/再診
Instagram

インプラント治療症例CASE2

インプラント治療症例

左右下顎の抜歯即時
インプラント埋入

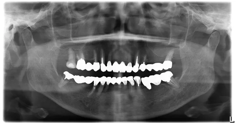
  • Before インプラント治療前の状態
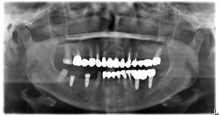
  • After インプラント治療後の状態
患者様 80代・女性
主訴・治療内容 根管治療の問題により左右臼歯部の抜歯が必要となり、
インプラント治療を希望し来院されました。
片側ずつインプラント治療を進め、
両顎ともに審美性の高い被せ物を装着しました。
被せ物・歯肉の調和がとれ、審美性も回復しましたが、
正しい噛み合わせになったことで、機能性も向上しています。
治療期間 13か月
費用 1,500,000円(税込)

治療経過

治療前の状態

抜歯前のレントゲン写真です。
左右下顎臼歯部はブリッジで連結されているが、動揺しているため噛むと痛みがあり
歯根破折・根菅治療の問題から抜歯を行いインプラント治療を計画としました。

インプラント治療前の状態

治療経過

インプラント埋入

右下顎臼歯部にインプラントを埋入した後のレントゲン写真です。
(左側は先にインプラント埋入していた為最終的な被せ物が装着された状態です。)

インプラント埋入

治療経過

上部構造の装着

色調調整を行い、スクリュー固定のインプラント上部構造を装着した状態です。
インプラントの安定はもちろん、上部構造・歯肉ともに良好な調和が見られています。

インプラント治療後の状態